时间:2025-12-31 来源:本站 访问量:1001
2025年10月20-26日,第九届中国结构性心脏病学术活动周(中国结构周 2025)在上海盛大召开。期间,复旦大学附属中山医院葛均波院士团队周达新教授、潘文志教授,直播分享了一例采用ProStyle A®预装干瓣救治74岁主动脉瓣重度狭窄合并多基础疾病患者的精彩病例,其精准的术前评估、优化的手术策略与理想的术后疗效,为复杂结构性心脏病诊疗提供了宝贵实践经验。
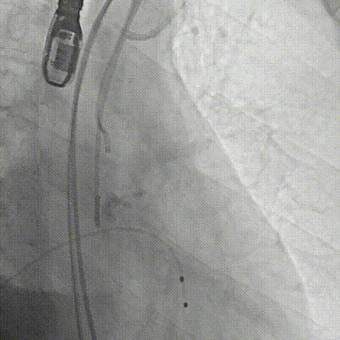
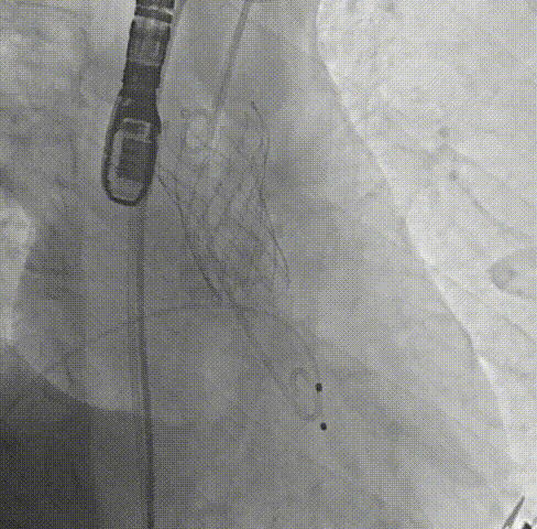
周达新教授 复旦大学附属中山医院 共识引路,干瓣启新,共赴临床解决方案:当前,结构性心脏病的介入治疗已迈入微创化、精准化的新时代。技术的革新、创新器械的上市,都是我们中国技术领跑的印证,《专家共识》的应运而生是中国医生对于行业“规范化”的践行,让治疗更精准、让医者更贴近“以患者为中心”的医疗本质。 潘文志教授 复旦大学附属中山医院 严谨求真重思考 创新临床互验证:在医学的漫长征途中,新器械的突破与严谨的临床研究是两大核心驱动力。拥抱创新的同时需要严谨求证,预装干瓣作为创新器械,其即取即用的特性可以很好的适配“急诊”的场景,此外,国产创新不是简单的复制,干瓣的瓣叶质地不是字面意思“干”的,而具“曲柔性”。所以,需要多看多测,才能全面了解一款产品。《经导管心脏瓣膜治疗术》的问世也是凝结着我们带着临床思维思考的结晶的“独家秘笈”,希望能够将“来时的路”变成未来行业同行者的“高效学习之路”! 患者病史 多病共存陷困境,主动脉瓣狭窄成 “首要威胁” 现病史:患者反复活动后胸闷2年余,无胸痛、心悸,无头晕、晕厥等不适,未予重视。患者轻微体力活动(快走、爬楼梯)即胸闷气促,静息及夜间无不适,无咳嗽、心悸等症状。为进一步诊疗收入我科,患病以来精神、食欲、睡眠、二便及体重均正常。 既往史: 2025年5月7日因小便不畅至外院住院病理穿刺确诊前列腺癌,期间检查心超提示主动脉瓣钙化伴重度狭窄,遂暂缓前列腺手术。2025年05月30日至我院就诊。 2025年5月20日开始服用比卡鲁胺片。患者血脂异常,长期服用丹参滴丸,麝香保心丸,心通颗拉。 手术史外伤史:10年前行肺手术,具体不详。否认外伤史。 入院检查 心电图提示:窦性心动过缓;ST-T改变; 心超显示:主动脉瓣钙化伴重度狭窄及轻度反流,Vmax 4.8m/s、PGmax 93mmHg、PGmean 47mmHg;左房增大,左室壁增厚。 冠状动脉CT造影:左前降支中段浅表心肌桥,主动脉瓣增厚伴重度钙化,主动脉粥样硬化。 术前CT 三叶瓣,中度钙化,主动脉根部直径25.4mm,LVOT直径23.5mm 双侧冠脉开口高度尚可,瓦氏窦尚可,ST尚可,升主尚可,冠脉风险小;中度钙化,心脏角度39.2°;心腔内径可,左室壁增厚。 外周走行尚可,全主动脉存在散在钙化,右侧穿刺点需避开钙化,血管内径可,血管内壁存在纤维增厚。 手术策略:右侧股动脉为主入路,使用20F大鞘;20球囊预扩,植入AV29瓣膜; 手术过程 主动脉根部造影 输送系统柔顺过弓 定位 缓慢释放瓣膜 造影观察 稳定脱钩 最终造影性钙位置良好,轻微瓣周漏 术后超声:轻度瓣周漏,术后平均压差11mmHg 出院前超声:平均压差11mmHg 在多基础疾病患者日益增多的当下,该病例也为临床提供重要启示:针对合并肿瘤、既往手术史的复杂瓣膜病患者,需通过多学科协作(心内科、肿瘤科、麻醉科等)全面评估病情,结合精准影像技术与适配器械,制定个体化手术方案,才能在保障安全的同时,实现最优疗效。 作为中国结构性心脏病领域的标杆学术活动,中国结构周 2025为这类高水平临床病例提供了交流平台,助力推动我国结构性心脏病诊疗技术持续创新,让更多复杂瓣膜病患者受益于精准医疗方案。 ProStyle A®预装干瓣——助力临床最优化解决方案: 轻松过弓,精准可控:该病例全主动脉存在散在钙化,右侧穿刺点需避开钙化,ProStyle A®较细的尺寸+柔顺的输送系统通过性能得到了很好的验证; 平稳释放:平衡的径向支撑力降低了释放过程中的张力,流入端小锥角设计能够迅速锚定贴边; 预装干瓣 便捷顺安:金仕生物专利抗钙化技术运用纳米技术去除组织内的细胞碎片和磷脂,封闭游离醛基,从根本上阻断了瓣膜钙化的多项因素,显著提升了瓣膜的耐久性;同时,相比较传统戊二醛保存方式,干式存储最大限度的保留心包的亲水亲油平衡,还原组织天然曲柔性,进一步保障了瓣叶开合,保证长期耐久性; 专家简介 葛均波 复旦大学附属中山医院(点击查看专家详细简历) 周达新 复旦大学附属中山医院(点击查看专家详细简历) 潘文志 复旦大学附属中山医院(点击查看专家详细简历) · END ·
干瓣作为新型瓣叶材料,为临床提供了创新选择,器械的临床应用须了解“器械脾性”方能游刃有余,细节藏在技术参数,细节藏在病例适配性,让我们共同见证行业的不断发展!












