时间:2025-12-31 来源:本站 访问量:1002
医学创新的脚步,始终向着攻克疑难、普惠民生而行。近日,宁夏回族自治区人民医院李有金主任团队勇挑重担,成功救治一位高龄、病情复杂的心血管疾病患者。患者主动脉瓣为Type-1型二叶畸形,伴重度钙化(钙化积分933.2mm³),同时合并肥厚性非梗阻性心肌病、心功能III级、升主动脉扩张及胃恶性肿瘤个人史,手术难度与风险较高。团队凭借丰富的临床经验、详细的术前评估与周密的手术预案,成功完成ProStyle A®预装干瓣的首批临床植入。此次手术的成功,不仅标志着宁夏回族自治区人民医院在复杂结构性心脏病介入治疗领域达到国内先进水平,更彰显了国产创新器械在复杂病例治疗中的卓越价值。
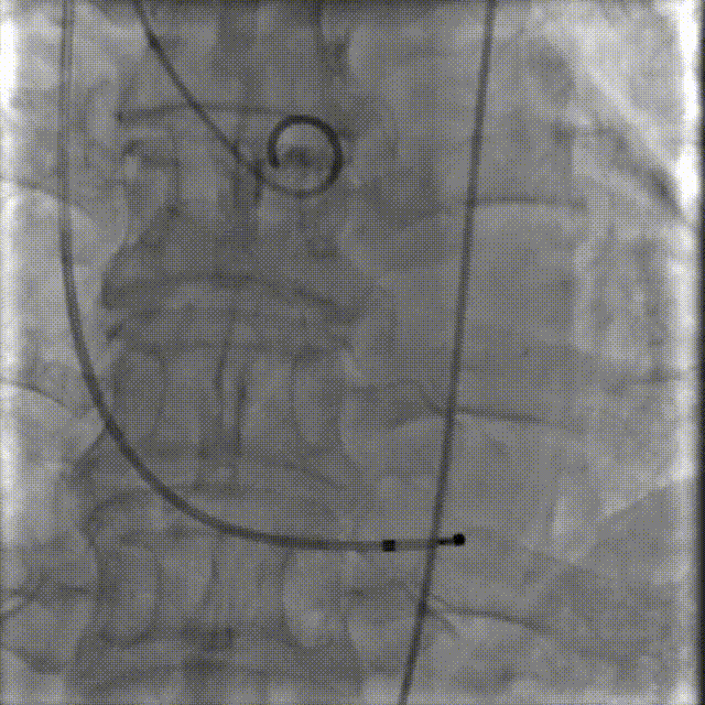
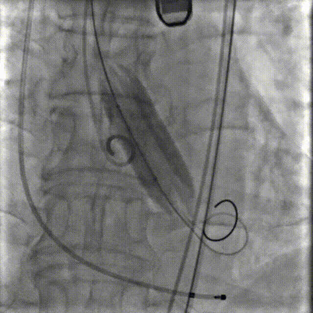
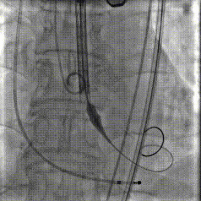
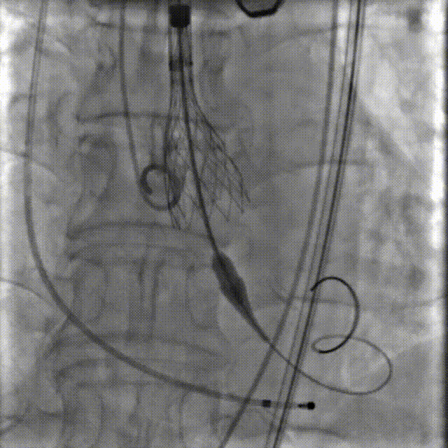
李有金教授 宁夏回族自治区人民医院 “随着人口老龄化加剧,主动脉瓣狭窄患者数量逐年增多,其中高龄、合并多种基础疾病的复杂病例占比不断提升。经导管主动脉瓣置换术(TAVR)作为微创治疗技术,已成为此类患者的重要治疗选择。对于高龄、有恶性肿瘤病史的患者而言,手术的安全性、微创性与长期疗效同等重要,既要最大程度降低手术创伤与并发症风险,也要确保瓣膜的耐用性与患者术后生活质量。 全球首款预装干瓣ProStyle A®的临床应用,为复杂病例治疗提供了全新解决方案。该瓣膜无需术中戊二醛冲洗,大幅缩短了手术操作时间,尤其适合高龄、心功能欠佳的患者。其独特的抗钙化工艺与优化的瓣架设计,既保证了瓣膜的长期耐久性,又能有效规避冠脉风险,为患者的“全生命周期管理”奠定了坚实基础。” 病例简介 现病史:患者半月余前突发抬头时一过性头晕,持续数秒钟,每日发作3-5 次,伴天旋地转感,症状可自行缓解。2025年12月12日就诊于外医院,心脏彩超提示“主动脉瓣狭窄(重度)并关闭不全(轻度),左室壁增厚,升主动脉增宽,左心室收缩功能正常,舒张功能减退”,建议转上级医院诊治。为求进一步治疗,患者就诊我院,门诊以“主动脉瓣狭窄”收住入院。 既往史:胃癌,胃大部切除术后五年。 临床诊断:“1.主动脉瓣狭窄伴有关闭不全(重度狭窄伴轻度关闭不全);2.主动脉瓣钙化;3.肥厚性非梗阻性心肌病;4.心功能不全;心功能III级(NYHA分级);5.升主动脉扩张;6.胃恶性肿瘤个人史” 术前CT评估显示:Type-1型二叶瓣,R-N钙化粘连,瓣叶重度钙化,主要分布在无冠窦瓣叶游离缘、R-N对合缘粘连处及右冠窦基底部;钙化积分933.2mm³;主动脉瓣环直径26mm,LVOT 27.6mm;双侧瓣叶开口高度可,左冠开口高度22.0mm,右冠开口高度20.0mm;主动脉水平夹角57.7°,左室内径偏小;主动脉弓部75.1°锐角弓;外周入路无明显迂曲及钙化,双侧股动脉内径可,右股中分叉。 手术策略 右侧股动脉为主入路,左侧为辅助入路,20F大鞘,股骨头中段穿刺;预装金仕生物 ProStyle A® AV26瓣膜,备29瓣膜,22mm球囊预扩;初始定位对齐瓣环上5mm超高位释放,释放过程中使瓣膜自然下滑至工作位,最终理想位置零位,利用瓣上锚定与封堵,规避冠脉风险;术前适当补液; 手术过程 Step1:主动脉根部造影; 主动脉根部造影 Step2:使用“先瑞达”22mm球囊预扩,无腰无漏,冠脉充盈良好; 球囊预扩 Step3:将ProStyle A®预装干瓣送至目标位置,初始定位后缓慢释放,观察瓣膜自然下滑至理想工作位; 定位 释放至工作位观察 Step5:瓣膜完全释放后,再次造影,显示瓣膜位置、形态良好,导管测平均跨瓣压差由术前60mmHg-降至1mmHg,冠脉血供正常; 最终造影 Step6:术后即刻超声监测,人工瓣膜位置固定,瓣叶启闭无受限,瓣周少量反流。 术后患者病情稳定,已于一周后出院。 结语 作为宁夏回族自治区心血管疾病诊疗的核心高地与区域医疗中心建设的标杆单位,宁夏回族自治区人民医院始终坚守“敬佑生命、救死扶伤”的医者初心,以“技术引领、学科兴院”为发展理念,在心脏大血管领域持续深耕,构建了集“精准评估-个性化方案-微创治疗-全程康复”于一体的诊疗体系。此次西北首例ProStyle A®预装干瓣植入手术的圆满成功,不仅是医院在复杂结构性心脏病介入治疗领域的又一突破性成果,更彰显了医院在引进前沿技术、转化创新器械、服务复杂重症患者方面的责任与担当。 Prostyle A®预装干瓣——助力临床最优化解决方案: 预装干瓣 便捷顺安:金仕生物专利抗钙化技术运用纳米技术去除组织内的细胞碎片和磷脂,封闭游离醛基,从根本上阻断了瓣膜钙化的多项因素,显著提升了瓣膜的耐久性;同时,相比较传统戊二醛保存方式,干式存储最大限度的保留心包的亲水亲油平衡,还原组织天然曲柔性,进一步保障了瓣叶开合,保证长期耐久性; 平衡径向支撑力:Prostyle A®瓣架网孔比例按照病例解剖结构的特殊设计,使瓣膜在狭窄最重的地方良好的撑开,同时避免对瓣环及周边组织的过度压迫,有效降低传导阻滞风险; 精准释放:底部桶状设计更易迅速锚定,协同释放张力小,助力最终精准释放; 过弓柔顺:较细的输送系统直径+亲水涂层,显著提升输送系统通过性,有效减少血管并发症的发生,内连鞘版本最小尺寸等效14F大鞘; 专家简介 李有金 宁夏回族自治区人民医院(点击查看专家详细简历) · END ·








