粤东首例!横位心 +股动脉痉挛+ 弓部解剖困境!汕头大学医学院第二附属医院成功开展 ProStyle A® 预装干瓣TAVR
时间:2026-02-03   来源:本站


2025 年 ESC 专家共识掷地有声:“推荐第一个瓣膜要选经证实具有长期耐用性的外科瓣膜与经导管瓣膜,以降低再次介入治疗的可能性。” 这一权威指引,直指重症瓣膜疾病治疗的核心要义 —— 以长久耐用为基,守护患者全生命周期健康,更警醒临床实践中需规避因瓣膜选择不当导致的 “二次风险”,让 “首瓣即优瓣” 成为患者生命保障的底线。



近日,汕头大学医学院第二附属医院李吉林教授、郑帆教授团队精准践行这一先进理念,应用全球首款预装干瓣 ProStyle A®,成功救治一名合并横位心、股动脉痉挛、弓部解剖异常的复杂入路主动脉瓣膜狭窄重症患者。作为粤东地区首例该类型瓣膜植入手术,此次突破不仅勇闯复杂手术技术险关,更以 ProStyle A® 卓越的抗钙化技术与15年长期耐久性,从源头规避 “非必要二次干预” 的潜在风险,将 “首瓣选耐久” 的共识落地为临床实效。既为患者撑起更持久的 “心” 守护,更以 “一次手术、长期受益” 的诊疗成效,为 TAVR 手术践行全生命周期管理理念、规避临床风险树立了行业新典范。


1.jpg



病例看点:多重高危因素叠加,手术挑战艰巨


2.jpg

本次救治的患者病情呈现多重复杂性,给手术带来极大考验:

心脏结构与功能受损:确诊为 Type I 型二叶瓣(L-R 型),术前超声提示主动脉瓣钙化并重度狭窄(Vmax=374cm/s,PG=56mmHg,MG=37mmHg,瓣口面积仅 0.42cm²)伴轻度关闭不全,全心增大,左室收缩功能重度减低(EF 值仅 25%)、舒张功能减低等。


  • 入路条件复杂:术前 CT 评估显示主动脉弓扭转、弓距短、弓角小,横位心,术中股动脉痉挛,进一步增加了手术操作难度。

  • 临床症状危急:患者夜间无法平卧,伴下肢浮肿、咳嗽及白色泡沫痰,曾自服利尿剂缓解症状,同时合并双肺感染、纵隔多发稍大淋巴结、双侧胸腔积液等问题。


患者病史


主诉:劳力性胸闷、气促1年,再发加重1月。


现病史:患者1年前多于快走或爬楼时感胸闷、气促,经休息后可自行缓解。后逐渐加重,近来稍活动即感胸闷、气促。1月前开始,胸闷、气促加重,夜间不能平卧,伴下肢浮肿,且逐渐加重。伴咳嗽,咳少许白色泡沫痰,自服利尿剂,症状稍好转;心包微少量积液;下腔静脉呼吸变异指数减低;


1.拟心衰、肺水肿并双肺感染可能性大,未除外其它;2.纵隔多发稍大淋巴结;3.双侧胸腔积液;4.冠脉硬化:。拟诊为“主动脉瓣狭窄 心力衰竭”收入院。


术前超声提示:

主动脉瓣钙化并重度狭窄及轻度关闭不全;升主动脉增宽;全心增大;左室假腱索;

三尖瓣重度反流,二尖瓣轻-中度反流,肺动脉瓣轻度反流;肺动脉高压(中度)左室舒张功能减低,收缩功能重度减低;心包微少量积液


3.jpg


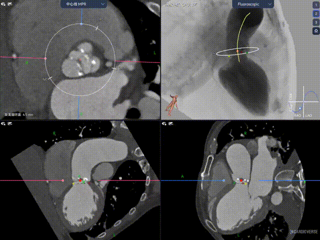
术前CT评估


Type1型二叶瓣(L-R),中度钙化,钙化集中在左右融合脊与无冠窦瓣叶两侧、LN交界处,Annulus直径23.3mm,LVOT25mm,向下敞口结构,限制区集中在瓣上6-9mm处,最窄空间预估19.8mm。窦部空间正常、LR融合,无冠脉风险;主动脉瓣环水平夹角59.6°,横位心,左室腔扩大,有一定循环崩溃风险。外周双侧入路良好、内径可、无钙化、双侧入路能够支持18F大鞘通过,右股中分叉,主动脉弓距短,锐角弓。

4.gif

5.png




手术策略


入路选择:主入路:右侧股动脉(右股分叉上方1cm处穿刺);辅入路:左侧股动脉;器械:20F大鞘;


瓣膜选型与预处理:ProStyle A®预装干瓣,瓣膜型号AV23;不预扩,22球囊后扩;


定位与释放方案:初始定位:对齐真实瓣环,瓣上5mm处释放,瓣膜自然下滑至工作位,最终目标“0位”;


手术过程:化险为夷,疗效显著


穿刺右股动脉作为主入路置入6F鞘:造影提示骼动脉及股动脉痉挛明显,予静推罂粟碱及硝酸甘油、补液等处理后,血管条件改善,顺利置入导丝及大鞘建立轨道,随后将Prostyle A® AV23瓣膜精准释放于目标位置,超声显示无瓣周漏,平均跨瓣压差由2mmHg,心功能明显改善,患者生命体征平稳。


1.穿刺遇骼动脉及股动脉痉挛


6.gif


2.主动脉根部造影


7.gif


3.输送系统过弓


8.gif


4.定位


9.gif


5.释放过程


10.gif


6.稳定脱钩


11.gif


7.22mm球囊后扩


12.gif


7.最终造影,形态位置(0位)良好,无瓣周漏


13.gif


术后超声探查:人工瓣膜位置正常、功能良好,主动脉口 Vmax: 102cm/s,PGmax:4mmHg,PGmean :2mmHg;VTI 估测瓣口面积达 1.7cm²,EF:33%,患者心功能得到实质性提升,生命体征平稳,手术取得圆满成功。


14.jpg


此次手术的成功,不仅印证了汕头大学医学院第二附属医院在心血管介入治疗领域的技术硬实力,凭借严谨细致的术前评估、科学精准的手术策略及精湛娴熟的操作技术,在术中高效应对股动脉痉挛等突发状况,以沉着果断的决策力为患者扫清治疗障碍。更彰显了医院 “团结协作、精益求精” 的团队文化。


Prostyle A®预装干瓣——助力临床最优化解决方案


柔顺过弓:该患者主动脉扭转、弓距短、弓角小,横位心,术中股动脉痉挛;Prostyle A®较短瓣架及较细的输送器尺寸、亲水涂层设计,使得过弓更加柔顺,显著降低了血管并发症风险;


平衡径向支撑力:该患者为Type1型二叶瓣,术后患者PGmean :2mmHg;VTI 估测瓣口面积达 1.7cm²,狭窄撑开的同时保证了较好的EOA,血流动力学优异;


预装干瓣 便捷顺安:金仕生物专利抗钙化技术运用纳米技术去除组织内的细胞碎片和磷脂,封闭游离醛基,从根本上阻断了瓣膜钙化的多项因素,显著提升了瓣膜的耐久性;同时,相比较传统戊二醛保存方式,干式存储最大限度的保留心包的亲水亲油平衡,还原组织天然曲柔性,进一步保障了瓣叶开合,保证长期耐久性。


专家简介

15.jpg






李吉林

汕头大学医学院第二附属医院


16.jpg


郑帆

汕头大学医学院第二附属医院


· END ·