西安国际医学中心张金洲、杨金保教授团队完成超高危复杂TAVR手术破解多重解剖难题
时间:2026-03-11   来源:本站


近日,西安国际医学中心医院团队依托精准的术前分析与个体化手术策略,成功为一名合并极致纤细入路(最细仅 4.4mm)、小瓣环伴重度瓣上限制、二尖瓣机械瓣(SMVR)术后、小心室伴高循环崩溃风险的四重高危主动脉瓣疾病患者实施经导管主动脉瓣置换术(TAVR)。手术全程顺利,精准规避各类术中风险,术后患者血流动力学显著改善,无相关并发症,再次印证了团队在复杂 TAVR 手术中的精湛技艺与临床决策能力。


患者基本情况 


患者:85岁,女性


病史:风湿性心脏病病史10年,10年前因心房扑动行射频消融术;5年前行二尖瓣机械瓣膜置换术,术后长期口服华法林抗凝;主动脉瓣狭窄病史4年,本次因上呼吸道感染后头晕、胸闷加重入院。


超声诊断:老年性瓣膜退行性变主动脉瓣狭窄(重度)并关闭不全(轻度);二尖瓣关闭不全(轻-中度);三尖瓣关闭不全(轻度);肺动脉高压(PASP42mmHg)。


入院查体:体温 36.5℃,脉搏 142 次 / 分,呼吸 19 次 / 分,血压 147/79mmHg;身高 160m,体重40kg,心尖搏动位于左第 5 肋间锁骨中线内侧 0.5cm,心前区可闻及二尖瓣机械瓣开瓣音,胸骨左缘第 2 肋间可闻及 3/6 级收缩期吹风样杂音。


辅助检查:

  • 心脏超声:主动脉瓣重度狭窄(峰值压差 70mmHg,平均压差约 43mmHg),二尖瓣置换术后,左房增大,肺动脉高压(轻度),左室舒张功能减低,收缩功能正常,三尖瓣中量返流

  • 心电图 / 心律:心律不齐,心房扑动。


初步诊断:主动脉瓣狭窄、心功能 Ⅲ 级、二尖瓣机械瓣膜置换状态、心律失常(心房扑动)、高脂血症、高胆固醇血症、泌尿系感染


CT报告提示


主动脉瓣环周长径21.4mm,小瓣环,LVOT直筒型结构;风湿性三叶瓣,三窦交界粘连,限制最窄预估周长17.5mm。心脏角度41.8,瓣上限制重,无冠脉风险。


1.png



左室较小、有一定循环崩溃风险,SMVR植入术后,距离与角度可,植入过深可能影响二尖瓣,需精准操作控制植入位置。


2.png



外周入路无明显迂曲,胸腹主散在钙化。双侧股动脉内径小,右股最窄4.4mm,左股最窄4.1mm,需使用内联鞘版本尝试通过,右股中分叉。主动脉弓角、弓距可。


3.png


3D打印展示


4.gif


病例核心难点


  • 极致纤细入路,血管并发症风险极高:患者双侧股动脉内径显著偏小,最小内径4.4mm,远低于常规 TAVR 手术入路的安全直径标准,鞘管植入、器械输送过程中易引发血管撕裂、夹层、破裂,且术后血管闭合难度极大,同时外周血管存在胸腹主散在钙化,进一步增加器械推送阻力。


  • 小瓣环伴重度瓣上限制,PPM(患者 - 假体不匹配)风险突出:患者主动脉瓣环周长衍生直径仅 21.4mm,LVOT 直径 21.7mm,且存在三窦交界融合,瓣上 12mm 处限制约 17.5mm,瓣上空间狭窄对瓣膜径向支撑力、有效瓣口面积(EOA)要求严苛,瓣膜选择不当极易导致 PPM,引发术后跨瓣压差过高、血流动力学恶化。


  • SMVR 术后特殊解剖,二尖瓣受侵风险高:患者为 SMVR 术后,机械瓣与原瓣环距离仅 5mm,夹角 120°,若介入瓣膜植入过深,极易干扰二尖瓣开合功能,引发新的心脏瓣膜功能异常,对瓣膜释放的定位精度提出微米级要求。


  • 小心室伴循环储备极差,高循环崩溃风险:患者左室腔内径偏小,心脏循环储备功能濒临临界状态,术前存在潜在循环崩溃风险,手术中球囊预扩张、瓣膜释放等任何短暂的血流阻断,均可能诱发血压骤降、恶性心律失常,甚至低心排血量综合征


手术策略  


经过张金洲,杨金保教授团队分析,拟右股动脉作为主入路,切开入路放置16F大鞘,使用20mm先瑞达中空球囊预扩后,撤出大鞘,使用TAV23预装干瓣Prostyle -A®内联鞘版本通过入路,进行瓣膜植入。


入路选择:右股为主、切开,适配纤细血管:推荐右侧股动脉作为主入路,左侧为辅助入路,放弃经皮穿刺,采用外科切开入路,选用内联鞘版本器械,以应对最细仅 4.4mm 的极致纤细股动脉,降低鞘管对纤细血管的机械压迫,同时规划 14-16F 鞘用于球囊预扩,兼顾器械通过性与血管耐受性,避免血管撕裂、夹层等严重并发症。


瓣膜选择:预装Prostyle-A® AV23瓣膜,腰部直径20mm,开口较大、支撑力充足;规避 PPM 与瓣上限制。


循环保护:全程补液,实时监测,规避循环崩溃:术前、术中持续精准补液,维持患者血容量与循环稳定;手术全程实时监测血压、心率及心肌功能,采用先瑞达轮胎球囊Runflow® 20mm 预扩,温和扩张瓣环与瓣上狭窄段,不阻断血流,减少对循环的冲击。缩短器械操作与血流阻断时间,最大程度减少对脆弱循环的干扰。


定位释放:精准定位,避免过深植入与二尖瓣受侵:制定 “高定位、自然下滑、工作位零位”的释放策略,初始定位对齐瓣上3mm 释放,利用瓣膜自身特性自然下滑至工作位,通过多角度造影及食道超声长轴,实时观察瓣膜底端与机械瓣的位置关系,确保瓣膜最终处于零位理想位置,杜绝植入过深干扰二尖瓣开合。


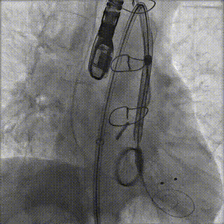
手术过程 


Step 1.球囊预扩:20mm先瑞达中空球囊预扩,不阻断血流,保护循环


5.gif


Step 2.输送系统过弓:4.4mm极细入路丝滑通过,柔顺过弓


6.gif


Step 3.精准释放:初始定位瓣上3mm,最终工作位零位,与术前策略一致


7.gif


Step 4.稳定脱钩:瓣膜自适应,与机械瓣无干扰


8.gif


Step 5.最终造影:位置合适,瓣膜形态良好,无瓣周漏


9.gif


Step 6.超声观察:人工瓣膜位置、压差、密封良好,二尖瓣开合正常。


11.png


平均压差由术前43mmHg降至7mmHg,术前导管压差45mmHg,术后导管压差3mmHg;左心室收缩功能稳定,跨瓣压差显著改善,患者循环状态平稳。


11.png


术者点评


本例手术针对 70 岁风湿性心脏病、二尖瓣机械瓣置换术后合并重度主动脉瓣狭窄的超高危患者,采用外科切开入路与内联鞘的双保险机制来应对最细仅 4.4mm 的极致纤细股动脉,选用 20mm 先瑞达轮胎球囊进行温和预扩张,有效规避了循环崩溃风险,同时通过精准定位避免了瓣膜过深植入干扰二尖瓣开合,为了保障小瓣环患者的术后血流动力学,我们选择了预装干瓣Prostyle A®这款瓣膜,该瓣膜最小型号的23瓣膜腰部直径较大,瓣膜使用耐久性较普通湿瓣长,能够保障患者的长期生存。在术前精细评估+术中团队精诚合作、小心操作的情况下,最终成功完成TAVR手术,显著改善了患者血流动力学,为 “纤细入路 + 小心室 + SMVR 术后+小瓣环” 三重高危 TAVR 病例提供了安全可行的临床范式。


专家简介


12.jpg


张金洲

西安国际医学中心医院心脏病医院


13.jpg


杨金保

西安国际医学中心医院心脏病医院



· END ·