时间:2025-12-29 来源:本站 访问量:0
在心血管疾病治疗的漫漫征程中,每一次技术的革新都如同破晓的曙光,为无数患者带来生的希望。伴随着七月的骄阳似火,由四川大学华西医院与金仕生物共同转化的项目成果——预装干瓣Prostyle A®,在华西临床医学院陈茂副院长带领下,心脏内科冯沅教授、彭勇教授团队完成了全国上市后首次临床应用。此次手术的成功,预示着TAVR治疗正式进入干瓣心纪元。

“临床之声”

陈茂 教授
四川大学华西医院(点击查看专家详细简历)
坚守创新本源,领航医学征程:锚定临床痛点持续深耕,是镌刻在华西基因里的创新密码。自华西建院以来,一代代医者便以攻克医学难题为己任,这种精神薪火相传,驱动着我们不断向未知领域探索。我们团队和金仕生物团队共同研发的全球首款预装干瓣 Prostyle A®经导管人工主动脉瓣膜置换系统,是瓣膜产品的革新理念,从产品外观设计“标准化、便捷性”,到行业聚焦的“耐久性”,无不抓住了瓣膜行业发展的实战的痛点。创新始于临床需求,亦终将回归临床实践,期待创新预装干瓣给到临床更多的解决方案。

冯沅 教授
四川大学华西医院(点击查看专家详细简历)
精研技术突破,深耕临床应用:随着临床TAVR应用的不断深入,逐渐显现行业痛点。传统TAVR湿瓣,依赖戊二醛溶液保存,醛残留问题难以避免,影响瓣膜的生物相容性,且加速了瓣膜的钙化进程。而Prostyle A®预装干瓣,全新的干态存储背后是抗钙化技术平台为瓣膜提供了更耐久的保障。预装式结构将瓣膜组装流程前置并标准化,相较于传统湿瓣杜绝了装载失误等可能,5分钟即可准备完成装载。技术创新推动 TAVR领域长远发展,期待Prostyle A®为临床治疗方案优化与患者预后改善提供新的技术路径。

彭勇 教授
四川大学华西医院(点击查看专家详细简历)
精研创新干瓣,严守数据真实:预装干瓣是突破性创新,挣脱传统湿瓣局限,为患者带来全新选择。作为医者,既要有拥抱技术革新的魄力,更要坚守严谨求实的初心,让每例手术都经得起时间考验——“技术创新须以临床为尺,数据为证”:每一例术前评估筛选、每一份术后评估、每一个患者的长期随访工作及数据分析,都是验证临床疗效的关键。让创新真正扎根临床,一起守护患者‘心门’安康。
病例解析
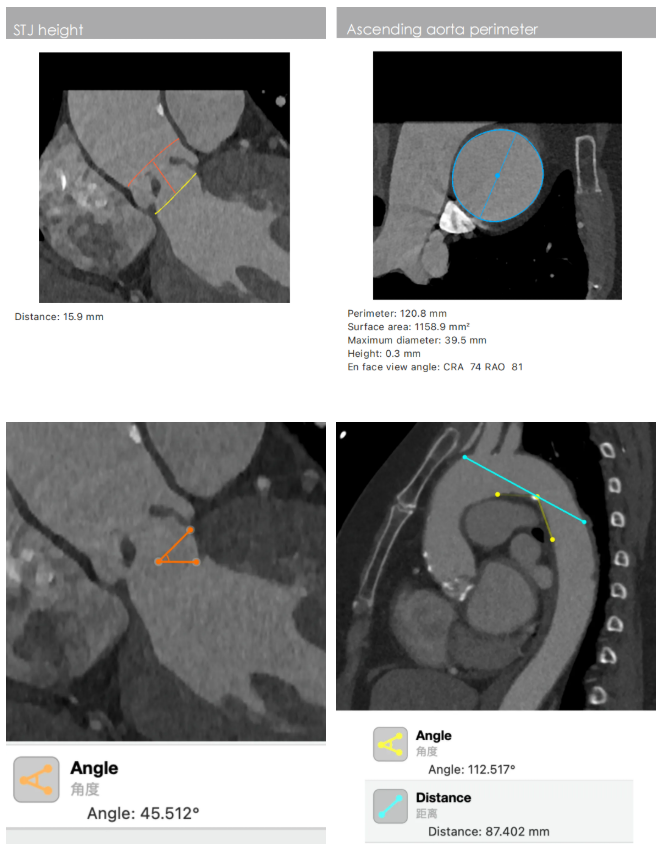
患者主动脉瓣重度狭窄并重度反流。CT显示三叶瓣,瓣叶增厚、中度钙化集中在瓣叶边缘与左无交界融合处,瓣环周长73.7 mm,均径23.4 mm,LVOT(左室流出道)周长73.9mm,STJ(窦管交界)周长91.5mm,升主动脉均径120.8 mm,瓣环角度可。左冠瓣叶长,LCA开口较低,有一定风险。



手术过程
术中通过右侧股动脉顺利建立工作路径,冠脉支架保护下经超硬导丝送入29 mm Prostyle-A®预装干瓣,顺利过弓跨瓣,精准定位后释放瓣膜,瓣膜完全释放后造影示瓣膜形态位置良好、无瓣周漏情况,压差由46mmHg降至0mmHg,患者血流动力学极大改善。

冠脉保护下瓣膜工作位

瓣膜释放后影像

主动脉造影检查
金仕生物Prostyle A®作为全球首款预装干瓣,性能解密之:
产品核心设计1:金仕生物Micro-Ex™专利抗钙化技术提供更耐久保障
临床获益1:专利抗钙化技术如同一位细心的清洁大师,完全清除了组织碎片,从源头上减少了可能引发钙化的 “杂质” 。同时,在瓣膜保存过程中,巧妙地封闭了钙化来源,就像是给瓣膜穿上了一层坚固的 “抗钙化铠甲”,显著提升了瓣膜的耐久性 。不仅如此,干瓣技术还赋予了瓣膜更佳的生物相容性,让瓣膜与人体能够更加和谐地共处,有效减缓了生物瓣膜钙化过程,为患者带来了更长久、更安心的治疗效果
产品核心设计2:较现有市面上的同类产品,Prostyle A®系统设计可达80%可回收
临床获益2:Prostyle A®可达80%的可回收设计,便于术中工作位观察,确保精准释放;
产品核心设计3:Prostyle A®平衡径向支撑力,释放张力小、更平稳
临床获益3:对于主动脉瓣重度狭窄的患者,平衡的径向支撑力可以保证瓣膜的充分展开,血流动力学更加优异。
· END ·
