时间:2025-12-30 来源:本站 访问量:1002
近日,中南大学湘雅二医院刘立明教授、赵元教授团队、武汉亚心总医院苏晞教授、张龙岩教授团队、(排名不分先后)凭借创新魄力及精湛医术,深入探索预装干瓣的特性与应用,成功完成预装干瓣Prostyle A®全国首批植入手术。此批手术的成功,标志着预装干瓣在我国的临床应用迈出了关键且坚实的一步,为患者带来“更耐久”的心希望。
中南大学湘雅二医院
● ● ● ●

刘立明教授
中南大学湘雅二医院(点击查看专家详细简历)
抗钙化技术赋能 洞见生命周期管理新思路:从事临床工作多年,我见证了金仕生物外科产品在无数病例中的出色表现。这些产品历经时间与实践的双重检验,以稳定可靠的性能赢得了业内的广泛信赖。如今,金仕生物核心抗钙化专利技术Micro-EX™在Prostyle A®上的应用,无疑是一次值得期待的突破。随着患者的年轻化,耐久的生物瓣结合耐久的介入瓣,或许可以为我们专注的“全生命周期管理”提供全新的思路。期待全新的预装干瓣技术,在长期使用中展现出更卓越的耐久性,为患者带来更持久的治疗保障,让治疗效果在时间的沉淀中愈发凸显其价值。
赵元教授
中南大学湘雅二医院(点击查看专家详细简历)
复杂病例挑战多 综合实力定乾坤:中国患者二叶瓣患者占比高,近期临床中遇到多例横位心患者,这些解剖学特点为临床的即刻手术成功提出了挑战:如何轻松过弓无损伤?如何在瓣膜植入后保持良好形态且无瓣周漏情况发生?除了本身瓣膜团队术中的密切配合,也需要有一款性能良好的瓣膜。该病例中,预装干瓣Prostyle A®在过弓过程中非常丝滑,80%可回收系统便于术中精准定位,术后瓣膜形态良好也无明显瓣周漏。期待全新预装干瓣技术,为临床患者提供更耐久的选择。
病例概览
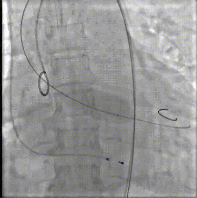
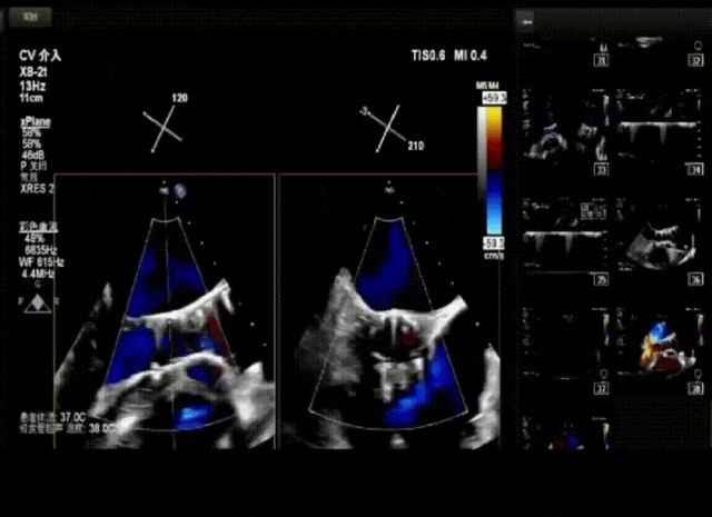
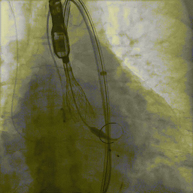
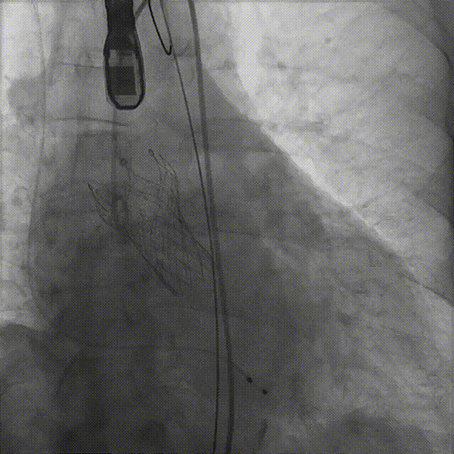
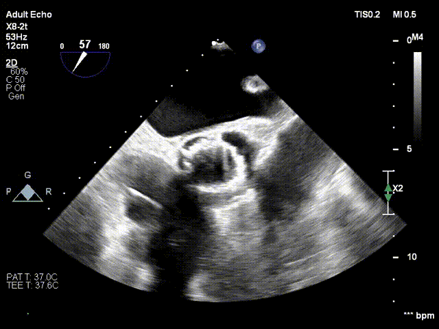
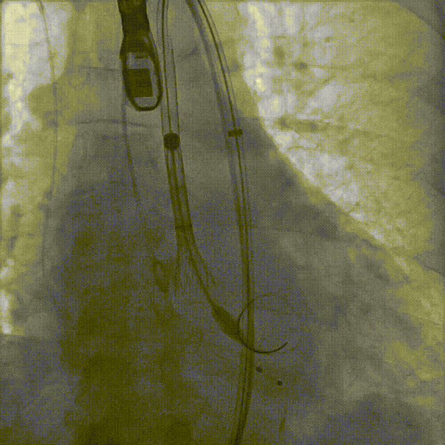
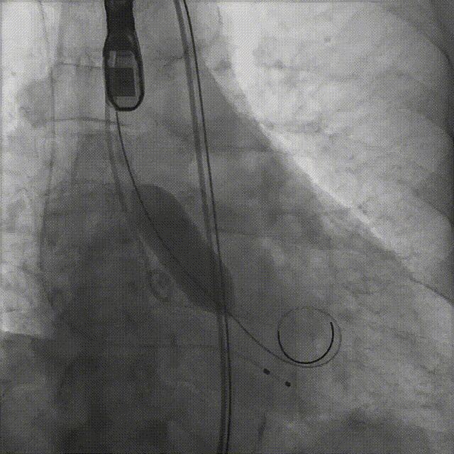
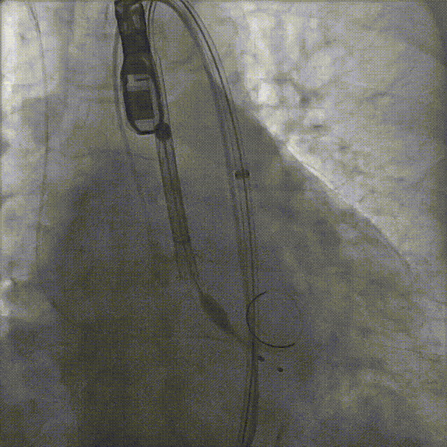
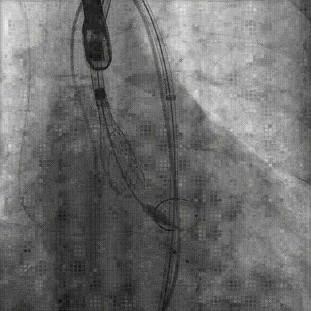
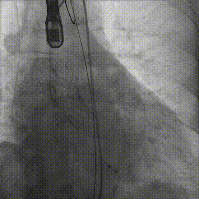
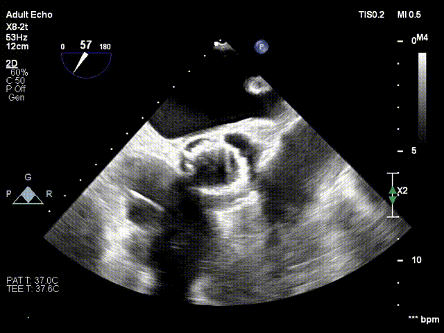
患者病史 体检发现心脏瓣膜病半月余,平素无症状 ,有高血压病史。 后来院复查诊断为:主动脉瓣狭窄(重度)、先天性主动脉瓣二叶瓣畸形、心室肥厚、升主动脉扩张心功能 I 级(NYHA 分级)、高血压病 2 级(极高危)。 术前 CT:Type0型二叶瓣,瓣叶增厚,无钙化,类风湿性;瓣环径25.6mm,LVOT稍收窄,瓣环水平夹角66.6°,轻微横位心;左右冠开口高度可,瓣叶不长,无冠脉风险;心室收缩末内径约32mm,室壁增厚;外周入路无明显迂曲,无钙化、双侧内径可、双股中分叉,右侧为主入路能够支持20F大鞘通过。 造影角度及入路:LAO 6° CAU 13° 手术策略 采用右侧股动脉为主入路,左侧为辅助入路,常规穿刺。推荐使用20球囊预扩,预装TAV29瓣膜,初始定位对齐瓣环上0mm开始释放。 手术过程 20号球囊预扩无明显腰征 输送器过弓跨瓣顺滑 80%工作位观察 术后造影,瓣膜释放位置良好,无瓣周漏 术后超声:人工生物瓣释放后形态满意,瓣叶开放、关闭活动良好,无瓣周漏;跨瓣血流速度降至 2.5m/s,平均压力梯度6mmHg,符合手术预期。 Prostyle A®预装干瓣——“刚柔并济”助力临床最优化解决方案: 丝滑过弓能力:Prostyle A®短瓣架设计联合远端超滑亲水涂层,即使没有联合使用snare,都可以柔顺过弓,该例横位心的患者更好的展现了输送系统的柔顺性; 平衡的径向支撑力:该例患者Type0型二叶瓣,术后形态展开良好且无瓣周漏,在横位心等复杂情况下实现稳定锚定。 80%可回收设计:80%工作位观察,起搏时间更短,对患者损伤减少到最小,也利于术中精准调整瓣膜位置,保证术后效果。











武汉亚心总医院
● ● ● ●

苏晞教授
武汉亚心总医院(点击查看专家详细简历)
医者恒守初心 仕瓣耐久立本:此前走进‘仕瓣・金盾’的生产基地,从原材料的严苛筛选到精密工艺的层层打磨,每一个环节的严谨都让我印象深刻。这种‘眼见为实’的体验,让我对其15年耐久性保障有了更真切的信心。对于患者来说,这种持久稳定的性能不仅能减少二次手术的风险,更能为全生命周期管理提供坚实支撑。作为一名医生,始终带领团队秉承为患者服务的初心,一起探索更耐久的安全性保障!
张龙岩教授
武汉亚心总医院(点击查看专家详细简历)
预装构建标准体系,护航技术安全下沉:任何技术的进阶之路,都离不开 “技术规范化” 的坚实支撑。TAVR 技术历经 15 年的临床深耕与广泛应用,向基层的渗透,正是技术规范化持续下沉的生动写照。
该病例使用的 Prostyle A® 干瓣,作为全球首款预装干瓣,其独创的预装载设计,从装载环节切入,以 “标准化” 思维重构操作流程 —— 无需复杂的现场组装,大幅降低人为操作差异,为基层医院简化了手术步骤,更让术者在开展过程中更添安心与便捷,为技术规范化向基层延伸搭建了高效桥梁。
病例概览
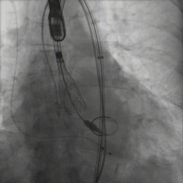
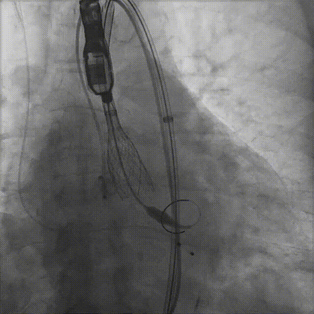
患者病史 男性,74y, 因 “发现心脏瓣膜病 1 年,加重伴喘气半年” 入院。门诊检查显示主动脉瓣重度AS并伴轻-中度AR。患者基础疾病较多:胸腹主动脉多发穿透性溃疡、心功能III级等,手术指征明确,但风险极高。 术前CT LVOT- Annulus 倒梯形,对植入瓣膜有挤压位移风险,Annulus直径23.7mm,瓣叶增厚,钙化集中在无冠窦边缘。 左冠脉开口高度可,瓣叶不长、窦部空间较大,无冠脉风险;室间隔膜部较短,有一定PPI风险,心脏角度37.9°;心室较小,有一定循环崩溃风险,术前注意补液。 术前造影角度及入路:血管入路散在钙化、无迂曲;主动脉弓条件好、双侧股动脉直径大、右股穿刺点侧壁存在环形钙化 左右重合位:RAO 7° CAU 21° 右窦中心位:LAO2 1° CAU 1° 手术策略 20mm球囊预扩后植入AV26瓣膜,同时做好预防循环崩溃、传导阻滞的应急预案。 术中挑战 1)球囊预扩:20mm球囊预扩时无明显 “腰征”,但存在少量反流,提示瓣膜钙化与解剖结构对扩张的阻力不均 2)首次释放偏差:第一次定位释放时,瓣膜在 “开花” 过程中下滑约 3mm,工作位观察显示小弯侧瓣周漏较多(深度超过完全覆膜区),需二次调整。 3)二次精准定位:以猪尾导管为参照,将定位点调整至 “猪尾 - 2mm” 处,结合真实窦底深度(较深)重新释放,最终瓣膜位置稳定,瓣周漏显著减少。 术后即刻效果: 瓣膜形态良好,跨瓣压差从术前的 67mmHg 降至 6mmHg,且无明显瓣周漏,冠脉开口通畅; Commisural Alignment 术后即刻超声: Prostyle A®预装干瓣——助力临床最优化解决方案: √ 平衡的径向支撑力:特殊的解剖结构下位置形态良好,术后跨瓣压差大幅降低,血流动力学改善明显; √ 80%可回收设计:支持术中二次调整释放位置,保证精准释放; √ 平衡的收腰设计&Commissural Alignment设计: 为患者后期冠脉PCI保留了生命通道;












