时间:2025-12-30 来源:本站 访问量:0
强书记、孙玉梅主任团队凭借精湛的临床医术和对创新技术不断探索的热情,成功完成预装干瓣Prostyle A®全国首批植入。该病例Type1型二叶瓣重度AS合并中度AR,术前充分的评估讨论,术中果敢而迅速的决策最终迎来手术的圆满成功,为预装干瓣在二叶瓣重度钙化患者人群中的临床应用提供了具象化的临床表现。期待持续全新一代的抗钙化理念为患者带来“更耐久”的心希望。

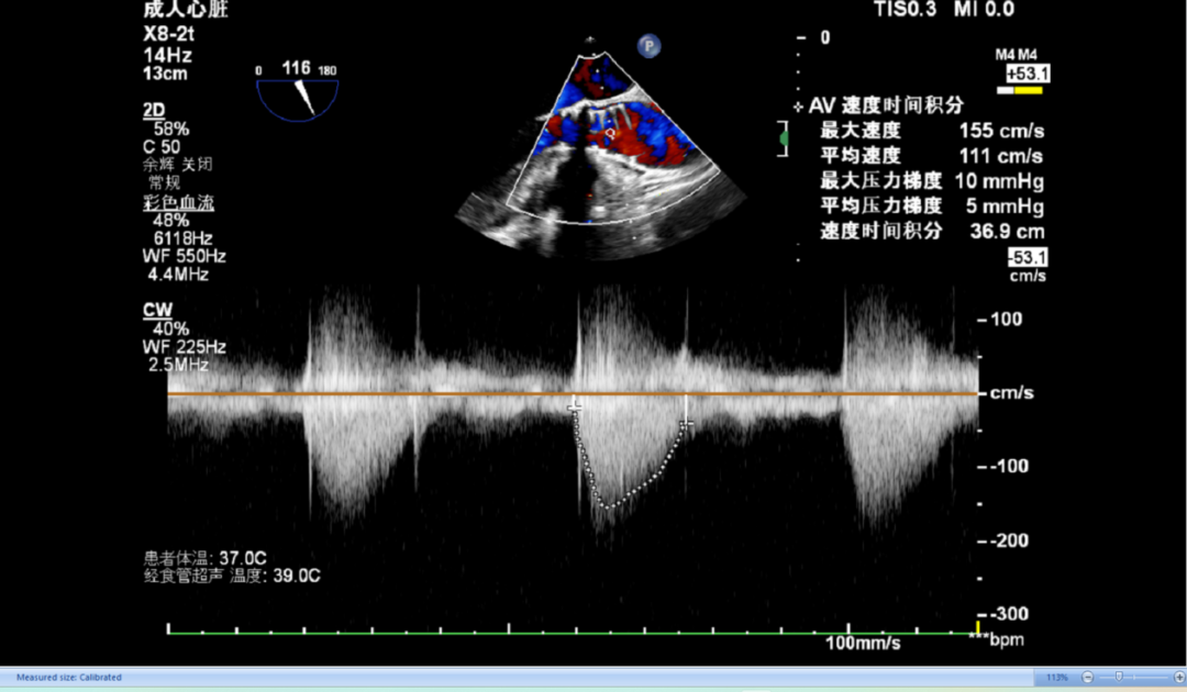
袁义强教授 河南省胸科医院(点击查看专家详细简历) 拥抱创新技术,推动心血管诊疗革新:作为医院管理者,我们团队始终把患者需求放在首位。干瓣作为TAVR的全新一代产品,其抗钙化性能预期为临床带来更卓越的耐久性,进一步延缓及降低二次手术的发生,每一个殷切期待眼神的患者身上,我们始终警醒,尽全力减少患者反复就医的痛苦,更从长远大幅节约医疗开支,让普通家庭看得起病、看好病。这不仅提升了诊疗效果,更践行了医疗惠民的初心,也多层面地减少医疗资源重复投入,为构建更经济高效的医疗体系注入动力,切实守护群众健康福祉。 孙玉梅教授 河南省胸科医院(点击查看专家详细简历) 念兹在兹,护佑患者每一刻:从医多年,我始终记得患者躺在病床上眼里饱含对健康渴求的殷切眼神,这是对医者的全心信赖——是把生命全然托付的信任,这份沉甸甸的情意,怎能辜负?选择什么手术策略,选择什么产品,医者需要给到专业意见的同时也需要听取患者的内心需求,既要保证当下手术的顺利成功,术后的快速恢复,更要为患者的长远生活兜底。Prostyle A 在这例重度钙化患者身上,既实现了术中安全植入、术后即刻改善,长久的抗钙化性能预期可以护航患者长期的生活。这份 “即刻与长久” 的平衡,正是我们一切从患者出发的初心写照,唯愿每一个细节里,都藏着让患者踏实的温度。 患者病史 主诉:间断胸闷、气促3年,加重两天。 既往史:平素健康状况良好。16 年前出现言语不清,就诊于当地医院,诊断为“脑梗死”给予药物治疗后症状好转。 术前 CT:Type1型(R-N)二叶瓣,右无交界存在钙化脊、粘连融合,极重度钙化,钙化集中在右无交界及三窦瓣叶边缘。 瓣环径27.1mm,LVOT28.9mm,瓣上3mm、6mm、9mm、12mm限制逐渐加重,从27mm逐渐缩窄至21mm。VTC空间较小,有一定冠脉风险。外周入路散在钙化、集中在双侧髂动脉与右股穿刺点后壁、双侧入路无明显迂曲,右股动脉内径可、低分叉。 手术策略 推荐右侧股动脉为主入路,瓣环27.1mm,Type1型(R-N)二叶瓣,右无交界存在钙化脊、粘连融合,极重度钙化,建议使用20mm球囊预扩,预装可回收AV23主动脉瓣膜,初始定位推荐真实瓣环上5mm超高位释放,释放时卸张力使瓣膜自然下滑至约瓣上1mm,利用瓣上限制固定瓣膜,提高封堵区封堵瓣上交界处,释放至工作位观察瓣膜情况决定是否回收。 手术过程 左右冠置入导丝进行冠脉保护 20号球囊预扩无明显腰征微量返流 初始定位 80%工作位观察 20号球囊后扩无明显腰征微量返流 术后造影:瓣膜形态好,有少量瓣周漏,冠脉造影无堵塞 术后超声:瓣膜形态好,有少量瓣周漏,平均跨瓣压差5mmHg Prostyle A®预装干瓣——“稳定支撑”助力临床最优化解决方案: 1. 平衡的径向支撑力:Prostyle A®综合设计带来平衡的径向支撑力,释放张力小,稳定贴靠,轻松应对高钙化病变; 2. Micro-EX™专利抗钙化技术:金仕生物专利抗钙化技术运用纳米技术去除组织内的细胞碎片和磷脂,封闭游离醛基,从根本上阻断了瓣膜钙化的多项因素,显著提升了瓣膜的耐久性;同时,相比较传统戊二醛保存方式,干式存储最大限度的保留心包的亲水亲油平衡,还原组织天然曲柔性,进一步保障了瓣叶开合,保证长期耐久性; 3. Prostyle A®平衡收腰设计:该例患者存在冠脉风险,Prostyle A®环上瓣及平衡的收腰设计,术后冠脉造影无堵塞,保证了有效瓣口面积的同时,带来更优异的血流动力学。









