时间:2025-12-30 来源:本站 访问量:0
近日,广东省人民医院心内科罗建方教授、李捷教授团队成功使用预装干瓣ProStyle-A®为一例重度主动脉瓣钙化患者完成TAVR手术,手术的成功离不开精准的解剖评估、创新的器械选择与精湛的操作技术,实现瓣膜稳定释放且轻度瓣周漏。本例手术的成功开展标志着预装干瓣在临床应用中又迈出了关键且坚实的一步,为患者带来“更耐久”的心希望。
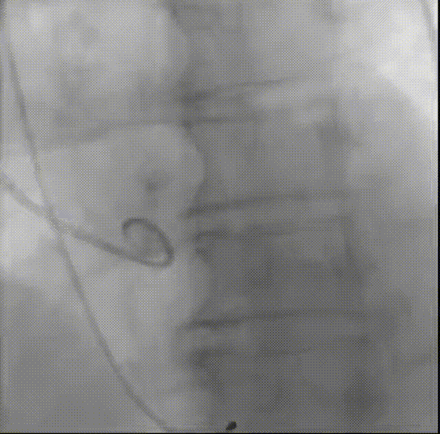
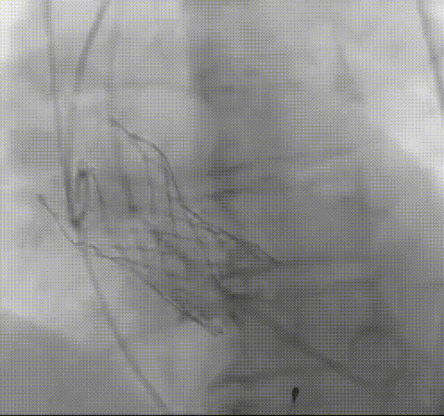
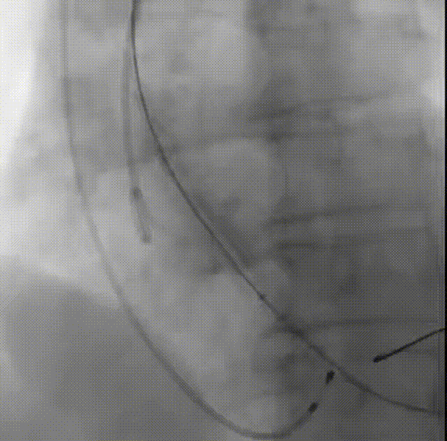
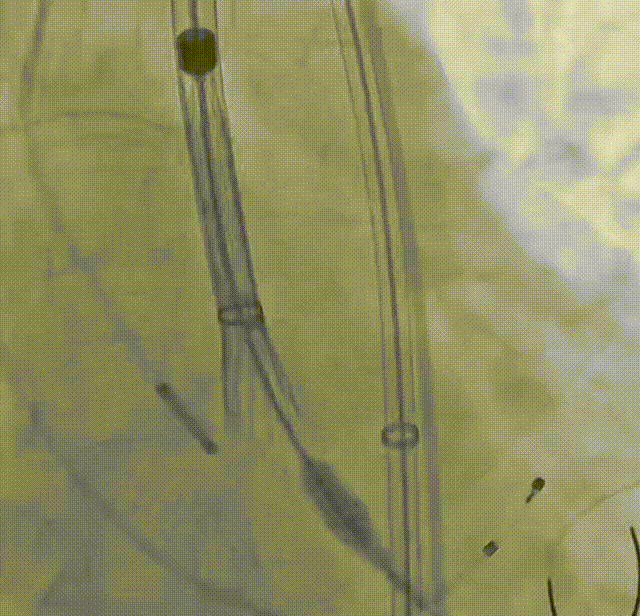
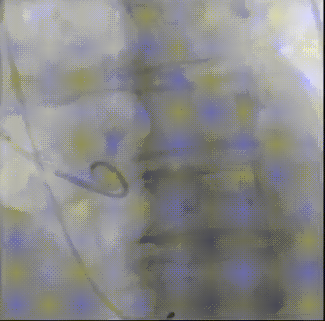
罗建方教授 广东省人民医院(点击查看专家详细简历) 设计本为临床需,耐久守护好芳华:任何医疗产品的设计初衷与最终归宿,都应落在 “临床获益” 这一核心上。尤其在 TAVR 领域,年轻患者预期寿命长,术后瓣膜的长期性能直接关乎其生活质量与生存预后。瓣膜耐久性问题,是落到临床实践中亟待突破的关键课题。传统瓣膜在长期使用中,可能因结构老化、功能退化等问题,难以满足年轻群体数十年的健康需求,二次手术风险也随之攀升。因此,产品设计必须直面这一临床痛点:通过材料革新增强抗钙化性能及生物相容性,以技术突破延长瓣膜有效使用寿命。此次临床应用的预装干瓣Prostyle A®是TAVR领域的革新理念,干瓣预期会为临床提供更耐久性的保障,实现了与临床需求的精准对接,为年轻群体的瓣膜治疗提供更坚实的保障。 李捷教授 广东省人民医院(点击查看专家详细简历) 干瓣技术求革新,性能兼顾护临床:干瓣的技术革新在创新的同时需要和临床实际需求深度耦合,兼顾TAVR术中的核心考量点。临床操作中,瓣膜能否顺利过弓,直接影响手术效率与安全性。Prostyle A®短瓣架设计及第二台阶的柔顺设计,术中操作丝滑;同时,瓣膜植入后的径向支撑力必须平衡得当,才能实现稳定锚定;释放后造影显示:瓣膜形态舒展,轻度瓣周漏,舒张压升高,冠脉开口未受影响;瓣周漏是影响术后效果的关键隐患,双层裙边设计通过多重密封机制降低反流风险,为患者长期获益筑牢防线。这些性能的协同优化,最终目的是让干瓣在临床中真正做到 “好用、耐用、安全用”,为患者预后提升提供坚实支撑。 患者病史 患者因 “活动后气促伴头晕 2 月” 入院。 现病史:2月前无诱因出现活动后气促,休息后缓解,伴头晕,夜间阵发性呼吸困难。超声检查发现:主动脉瓣重度狭窄并重度返流(跨瓣流速 4.3m/s,峰值压差 73mmHg);主动脉 + 冠状动脉 CTA 提示主动脉瓣显著钙化,升主动脉及分支粥样硬化,冠状动脉轻度狭窄(RCA 狭窄 30-40%)。 既往史:高血压病史 15 年,规律服药,血压控制稳定。 术前诊断:非风湿性主动脉瓣狭窄伴关闭不全(重度)、心功能 II 级(NYHA)、高血压病 2 级(高危)、冠状动脉粥样硬化。 术前CT 三叶瓣,瓣叶增厚中度钙化,右无交界钙化粘连,瓣环径25.1mm,LVOT 25.1mm,直筒型结构;窦部空间足够,升主未见增宽,瓣环水平夹角55°;冠脉开口位置佳,无冠脉风险;入路散在钙化、外周双侧入路无明显迂曲,双侧内径可、中分叉,左右侧均能够支持20F 大鞘通过。 造影角度及入路 右窦居中位RAO 5° CAU 26° 左冠切线位LAO 11° CRA 12° 手术策略 右侧股动脉为主入路,左侧为辅助入路;使用20球囊预扩,准备AV26瓣膜,冲洗口朝向3点钟方向送入输送系统性能,初始定位真实瓣环0位释放,最终锚定约瓣下3mm,工作位评估瓣膜稳定性与冠脉情况。 手术过程 根部造影 20mm 球囊预扩无明显腰征 术中使用26号瓣膜,瓣膜释放贴边迅速 80% 工作位观察瓣膜位置良好 释放后造影显示:瓣膜形态舒展,轻度瓣周漏,舒张压由术前30mmHg升为 60mmHg,冠脉开口未受影响。 术后超声:跨瓣流速降至1.6m/s,平均压差降至5 mmHg,心功能显著改善。 Prostyle A®预装干瓣——助力临床最优化解决方案: 1. 抗钙化与耐久性:Micro-EX™专利技术提升瓣膜抗钙化能力,适配患者瓣叶中度钙化的解剖特点,为长期疗效提供保障。 2. 柔顺过弓与精准定位:短瓣架设计 + 远端超滑涂层,确保患者输送系统过弓顺畅;瓣架流入端微直筒设计,让定位贴边更迅速,减少了手术时间; 3. 80% 可回收设计:便于术中调整观察,减少起搏时间,从而减少并发症。 4. 简化手术流程:预装设计缩短操作时间,20F 大鞘兼容外周入路,降低血管损伤风险。










