时间:2025-12-31 来源:本站 访问量:1003
瓷化升主动脉一直是TAVR手术中的 “高危关卡”—— 血管壁钙化严重,稍有不慎就可能导致钙化斑块脱落,引发致命性卒中,系统通过时也容易造成夹层风险。近日,中山大学附属第一医院心脏瓣膜介入团队在心血管医学部主任、党总支书记廖新学教授统筹指导下,心内科庄晓东教授联合心脏超声科主任姚凤娟教授、麻醉科沈建通教授,使用全新解决方案打破了这一困境:创新性采用可调弯鞘与通过性较好的预装干瓣TAVR系统Prostyle A,不仅让器械在坚硬的瓷化血管中实现了顺畅通过,更全程零风险,为高卒中高夹层风险的瓷化升主动脉患者开辟了安全手术的新路径。

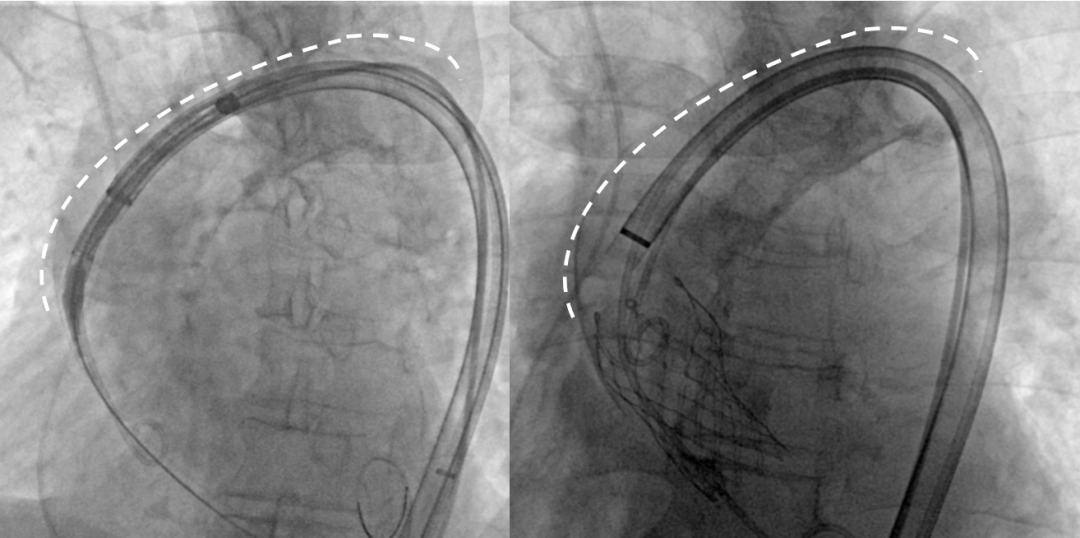
瓷化升主动脉
患者基本情况
患者:85岁,女性
现病史:反复胸闷气促5月余,来我院就诊,以“心脏瓣膜病”收入院。
既往史:糖尿病、高血压、既往卒中。
超声诊断:老年性瓣膜退行性变主动脉瓣狭窄(重度)并关闭不全(轻度);二尖瓣关闭不全(轻-中度);三尖瓣关闭不全(轻度);肺动脉高压(PASP42mmHg)。

心电图:I度房室传导阻滞。

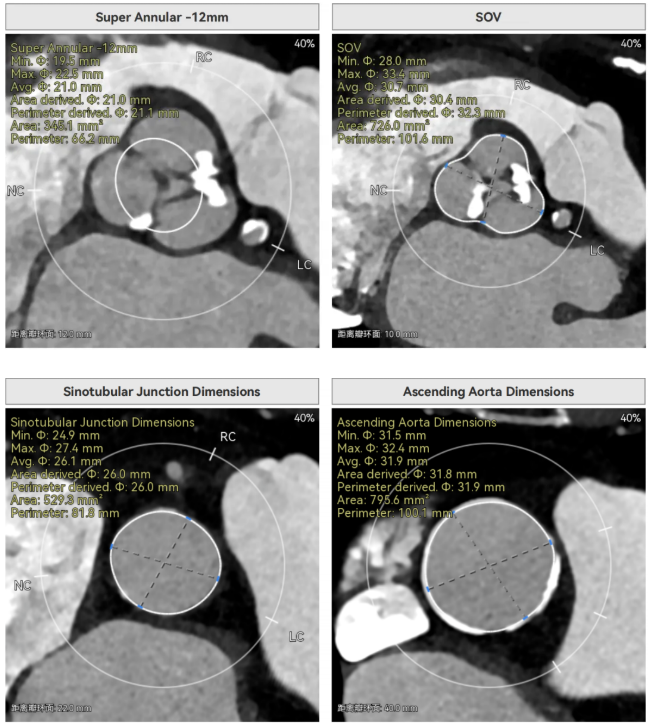
CT报告提示
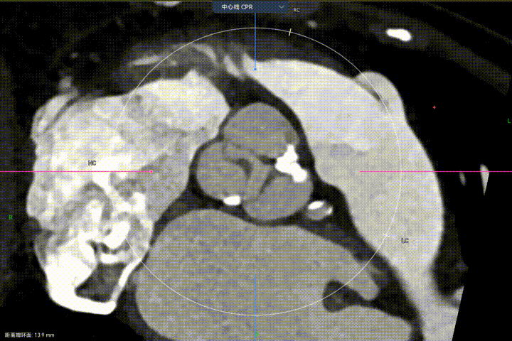
主动脉瓣环周长径21.9mm,小瓣环,LVOT直筒型结构;三叶瓣,左右融合(功能型二叶瓣),瓣叶轻微增厚并重度钙化,钙化主要分布在无冠窦瓣叶边缘及左右交界融合处,瓣上限制较重。



窦部空间适中,STJ内径偏小,升主动脉内径可。

双侧冠脉开口高度可,VTC空间充足,无冠脉风险,双冠内多处钙化,术中评估冠脉支架植入必要性。

左室内径较小,但合并轻度反流,低循环崩溃风险,室间隔膜部长度<3mm,有一定术后起搏器植入风险。

外周双侧入路无明显迂曲、直径可容纳20F大鞘通过,双侧中分叉,穿刺需注意。主动脉弓角弓距可,髂总动脉及分支多处钙化,瓷化升主动脉,钙化由升主动脉蔓延至主动脉弓侧壁及弓顶弓底部,有一定卒中和夹层风险。



手术风险
该病例术前传导阻滞,室间隔膜部短,有一定永久起搏器植入风险;瓷化升主动脉,高夹层与卒中风险,在既往研究中,瓷化升主动脉患者缺血性卒中发生率为9.4%,普通患者为2.1%,围手术期缺血性中风的风险增加了4倍以上,瓷化升主动脉患者即使未行手术,其自然病程中夹层风险也可能是普通人群的 2-3倍。
瓷化升主动脉的病理机制:
1、钙化直接削弱血管结构稳定性:力学特性改变瓷化主动脉的钙化斑块主要沉积于血管中膜,导致弹性纤维断裂、胶原纤维无序增生,使血管壁弹性模量显著升高。这种 “蛋壳样” 硬化会显著降低血管顺应性,当血流冲击(如高血压)时,钙化区域承受的应力集中易引发内膜撕裂。
2、炎症与氧化应激钙化过程伴随慢性炎症反应,激活基质金属蛋白酶(MMPs)降解血管壁基质,进一步破坏中层结构完整性。研究显示,瓷化主动脉患者的血清 IL-6、CRP 等炎症因子水平显著高于普通动脉硬化患者。
3、血流动力学异常钙化导致血管腔不规则狭窄,血流形成涡流,局部剪切应力增加,可能诱发内皮损伤和夹层形成。
手术策略
经过庄晓东教授团队分析,拟右股动脉作为主入路,使用可调弯长鞘建立通道,使用18mm球囊预扩,选择AV23号Prostyle A®瓣膜进行释放。
手术过程
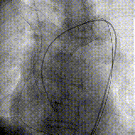
Step 1.升主动脉情况评估

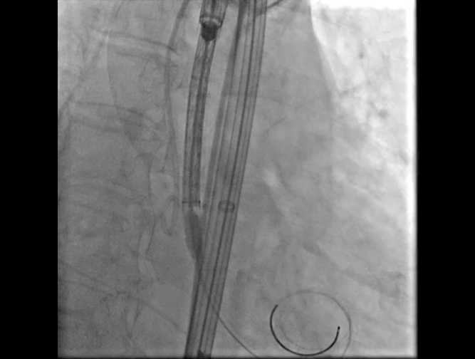
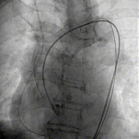
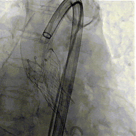
Step 2.建立大鞘通路:大鞘通过升主、边进入边加弯,避免剐蹭弓部斑块


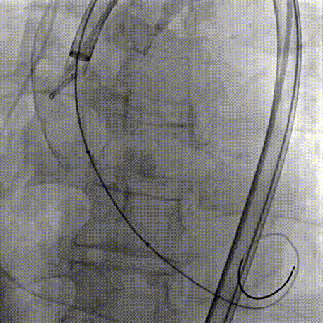
Step 3.球囊预扩:18mm球囊预扩张,无腰无漏

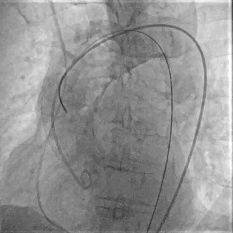
Step 4.输送系统进入:过弓性能优异,悬空通过,整体过程未将鞘管顶起至弓顶部

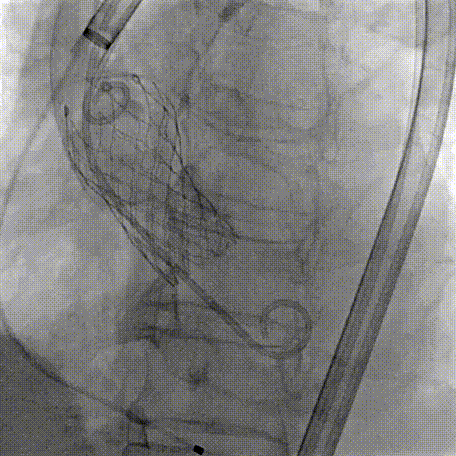
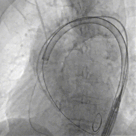
Step 5.瓣膜定位与释放:高起始位逐渐向下推送保持良好同轴性,无位移

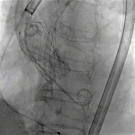
Step 6.工作位观察:真实瓣环下方2mm,位置合适,决定释放,一次完成

Step 7.瓣膜脱钩:脱钩稳定无位移

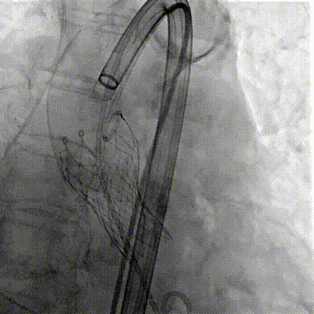
Step 8.最终造影:真实瓣环下方3mm标准位,完全同轴,轻微反流,猪尾撤出后反流完全消失

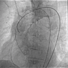
Step 9.CuspOverlap体位验证缘对缘对齐,挂钩位于最右方,基本避开冠脉开口


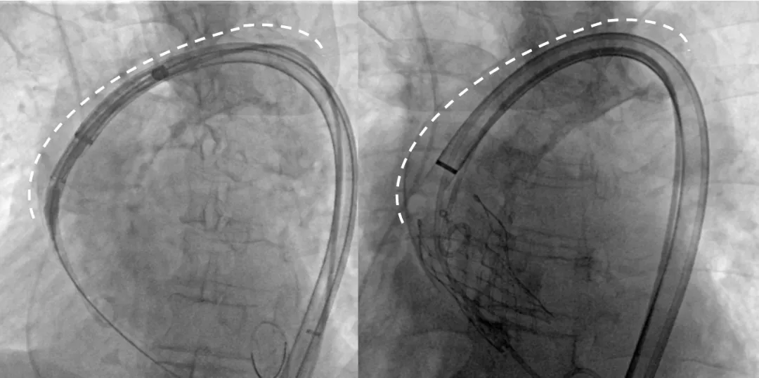
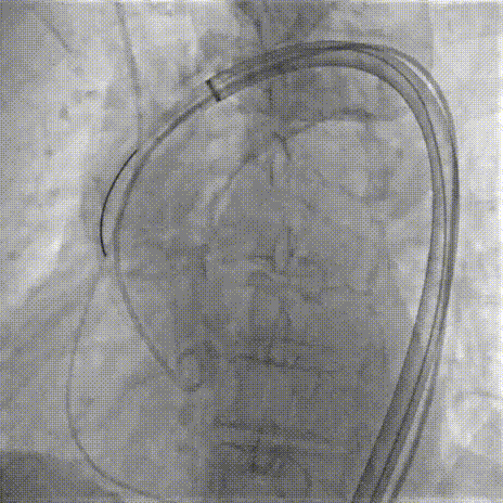
过弓示意图
Step 10.验证器械同轴性,完全同轴

术者点评
庄晓东教授
中山大学附属第一医院
瓷化升主动脉和复杂弓形一直是TAVR手术中的痛点病例,既往对于这类病例一般使用可调弯的TAVR系统辅助,此次手术使用通过性良好的自展瓣+可调弯鞘,既能满足小瓣环患者的血流动力学需求,也能大幅减小患者的手术风险。该病例既能看到Prostyle A这款预装干瓣表现了良好的通过性,在瓷化血管里推进时没有明显阻力,不用过度用力,推送十分顺畅,完全悬空通过,器械释放也很稳定;也可以看到可调弯鞘对手术过程的辅助作用,实际上对术者来说我们过往的重点都放在主要的耗材本身,辅助的耗材是否搭配起来好用,对手术的帮助也非常重要,这次手术最终还有一个亮点就是瓣膜放下去同轴性非常好,几乎是和真实瓣环平齐,这也是搭配起来产生的优秀结果。
手术中其实有个关键点,在可调弯鞘过弓的时候,我们特意放慢了速度,一遍进一遍调弯,确保每一步都不触碰弓顶钙化。这台手术的成功,本质上是 “病变特点和器械特性” 的精准匹配。对同类型来说,碰到瓷化升主动脉合并复杂弓的病例,建议术前一定要把钙化范围、弓部角度这些解剖细节分析透,器械选择上不用局限于单一方案,多考虑协同作用,或许能找到更安全的路径。毕竟对我们来说,每台复杂手术的目标都一样:在保证安全的前提下,给患者带来最好的长期获益。
Prostyle A®预装干瓣——助力临床最优化解决方案:
>平衡的收腰设计:该病例瓣环较小21.9mm,AV23瓣膜的平衡收腰设计既确保了锚定安全性,又保证了EOA,有效降低了循环崩溃风险,而术后平均压差由术前的84mmHg降至了2mmHg,更加证明了瓣膜本身优秀的血流动力学,大大提高了瓣膜的耐久性;
>预装干瓣 便捷顺安: 金仕生物专利抗钙化技术运用纳米技术去除组织内的细胞碎片和磷脂,封闭游离醛基,从根本上阻断了瓣膜钙化的多项因素,显著提升了瓣膜的耐久性;同时,相比较传统戊二醛保存方式,干式存储最大限度的保留心包的亲水亲油平衡,还原组织天然曲柔性,进一步保障了瓣叶开合,保证长期耐久性。
