时间:2025-12-31 来源:本站 访问量:1001
近日,刘煜昊主任带领陈同峰博士、王小虎副主任、陈冲博士、赵一品博士,成功使用预装干瓣ProStyle A®完成首批临床应用,该患者瓣环仅19.3mm、LVOT 17.7mm,还伴有小心室,球扩后易发生循环崩溃,手术难度拉满!预装干瓣可迅速完成瓣膜准备,及时放置瓣膜让患者恢复血流动力学。 ProStyle A®切实为这类高难度病例患者带来更优治疗选择,带来“更耐久”的心希望。
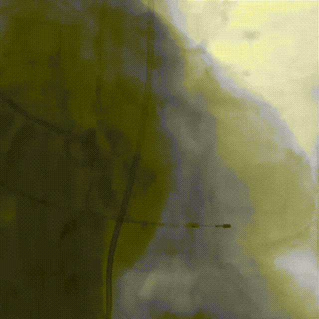
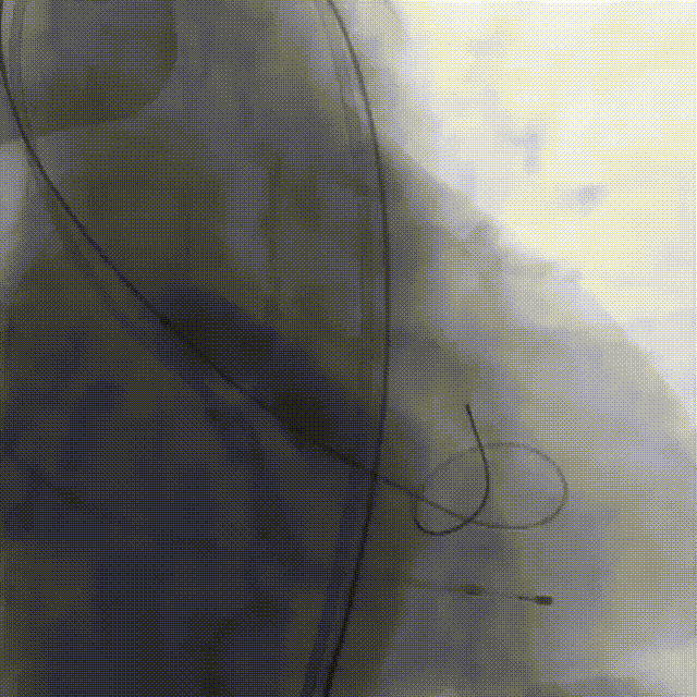
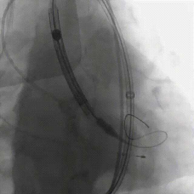
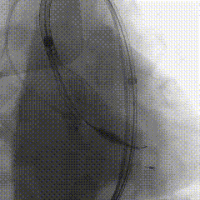
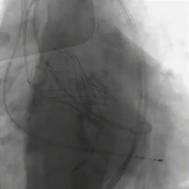
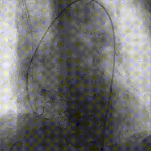
刘煜昊教授 阜外华中心血管病医院(点击查看专家详细简历) 首瓣选耐久,干瓣护航全生命周期管理 2025年ESC专家共识里指出:“推荐第一个瓣膜要选经证实具有长期耐用性的外科瓣膜与经导管瓣膜,以降低再次介入治疗的可能性 ,对于瓣环较小、根据预测有效瓣口面积(EOA)评估存在严重 PPM 风险的患者,可采用主动脉根部扩大术联合 SAVR,或植入环上瓣,对于小瓣环患者自展瓣拥有比较好的血流动力学优势”。 每一次术前评估,都是我们与患者携手面对未知的起点。我们始终以患者全生命周期获益为核心,在瓣膜选择与术式规划中,不只着眼于当下解剖适配,综合评估解剖条件、预期寿命与生活质量。从年轻患者到高龄人群,瓣膜耐久性与血流动力学稳定性始终是决策核心! 陈同峰教授 阜外华中心血管病医院(点击查看专家详细简历) 医学的进步正不断拓宽生命的边界,每一次术前评估都是对生命尊严的深度凝视,技术与人文的交融,让风险不再仅是数字的堆叠,而是成为医者与患者共同面对未知的勇气见证。术中瓣膜释放结束,到了导管测压的时候,我惊喜:瓣膜不错啊,压差为0,这不仅仅得益于瓣膜形态的设计,更是环上瓣及瓣叶材质优质的体现,感受到了 Prostyle A瓣膜在血流动力学上的卓越表现,其采用的抗钙化处理技术有效延长了瓣膜的耐久性,为患者长期生存提供了更可靠的保障。 患者病史 主诉:心慌半月; 门急诊诊断:心悸,冠状动脉粥样硬化性心脏病,心脏瓣膜病,主动脉瓣狭窄,高血压,甲状腺术后; 现病史:半月前无明显诱因出现心慌,呈间断性,伴心悸、出汗,伴头晕,无咳嗽、咳痰,无恶心、呕吐,无双下肢水肿,无放射痛及意识障碍,休息约几分钟后可自行缓解,症状反复发作,遂来我院就诊。 术前超声提示:室间隔增厚;主动脉瓣退行性变并重度狭窄;升主动脉明显增宽;室间隔增厚。 术前CT 三叶瓣,轻度钙化集中在无窦和左窦瓣叶边缘,主动脉根部直径19.3mm,LVOT直径17.7mm,LVOT向下收窄; 窦部正常,VTC空间足够,冠脉风险低; 左室腔小,收缩末径20-25mm,“自杀左室”,循环崩溃风险高;主动脉瓣环水平夹角71.1°,横位心,过弓和跨瓣存在一定困难,备snare。 外周双侧入路内径可,双侧入路能够支持20F大鞘通过,右股低分叉。 手术策略 推荐右侧股动脉为主入路,左侧为辅助入路,右股分叉上方1cm穿刺;推荐选择AV23瓣膜,18mm球囊预扩,左右重叠位:LAO 7° CAU 35°;左冠切线位:LAO 27° CRA 16°;右窦居中位:LAO 18° CAU 9°;备Snare,建议ECMO/CPB湿备,术前术中积极补液,警惕循环崩溃风险。 手术过程 在右股动脉穿刺建立通路后,顺利送入大鞘,经食道超声及血管造影确认路径稳定。18mm球囊预扩过程中,患者血压一度下降,迅速完成扩张并立即植入AV23 ProStyle A®瓣膜。瓣膜精准释放于目标位置,超声显示无明显反流及瓣周漏,血流动力学即刻改善。 主动脉根部造影 18mm球囊预扩少量反流 输送系统柔顺跨瓣 精准定位 平稳释放 80%工作位观索位置合适 释放后导管测压,压差由术前53mmHg降为0mmHg 最终造影瓣膜位置形态良好,冠脉灌注良好,无明显瓣周漏 ProStyle A®预装干瓣——助力临床最优化解决方案: 轻松过弓,精准可控:该病例为横位心,在未使用snare的情况下,过弓和跨瓣柔顺,较细的尺寸+柔顺的输送系统通过性能得到了很好的验证; 平衡的收腰设计:该病例瓣环较小且左室腔小,AV23瓣膜的平衡收腰设计既确保了锚定安全性,又保证了EOA,有效降低了循环崩溃风险,而术后0mmHg的压差的表现更加证明了优秀的血流动力学,提高了瓣膜的耐久性; 预装干瓣 便捷顺安:金仕生物专利抗钙化技术运用纳米技术去除组织内的细胞碎片和磷脂,封闭游离醛基,从根本上阻断了瓣膜钙化的多项因素,显著提升了瓣膜的耐久性;同时,相比较传统戊二醛保存方式,干式存储最大限度的保留心包的亲水亲油平衡,还原组织天然曲柔性,进一步保障了瓣叶开合,保证长期耐久性。 专家简介 王小虎 阜外华中心血管病医院(点击查看专家详细简历) 陈冲 阜外华中心血管病医院(点击查看专家详细简历) 赵一品 阜外华中心血管病医院(点击查看专家详细简历)













