复旦大学附属中山医院:纯超声引导下偏心式设计预装干式经导管二尖瓣瓣膜系统首例确证性临床研究植入成功
时间:2026-04-07   来源:本站

复旦大学附属中山医院心外科王春生教授、魏来教授率领团队,于2026年03月12日,在心脏超声诊断科董丽莉教授的纯超声技术引导下,应用金仕生物经导管二尖瓣置换(TMVR)系统开展了首例确证性临床研究,为一名高危重度二尖瓣反流患者,成功完成了国内首个偏心式设计预装干瓣的经导管植入手术。


手术过程顺利,瓣膜植入后锚定良好,术后即刻患者二尖瓣反流消失,人工生物瓣膜性能优异,患者于术后第5天顺利出院,并已完成术后三周随访。患者症状明显改善,瓣膜锚定、瓣叶开闭形态良好,无瓣周漏,无左室流出道梗阻。首例确证性临床研究植入成功,标志着这款完全由金仕生物科技(常熟)有限公司自主研发的ProStyle M®经导管二尖瓣瓣膜系统在复旦大学附属中山医院牵头的全国多中心确证性临床研究中正式启动。


本研究将由复旦大学附属中山医院心外科王春生教授、魏来教授率领团队进一步论证TMVR手术的安全性和有效性,为心外科专家在二尖瓣中重度以上反流疾病领域提供更多可靠、安全的治疗方案,造福广大患者。


患者术前评估


患者为74岁男性,高龄,身体虚弱(存在≥2个中重度的虚弱指标:不能独立进食、不能独立洗澡、不能独立用厕),患者曾行胸骨正中切口左心房肿瘤切除及二尖瓣、三尖瓣成形术,如二次开胸将明显增加外科手术风险。经过中山医院心脏团队综合评估后,认为其为常规外科手术高危患者,患者及家属同意参加该临床研究,决定使用金仕生物经导管二尖瓣瓣膜系统行TMVR手术 。


01.jpg
02.jpg

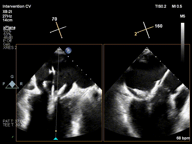
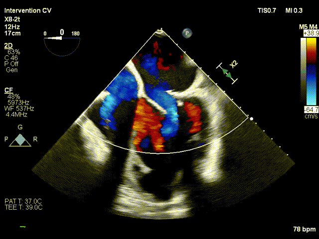
二尖瓣瓣环测量


03.jpg
04.jpg

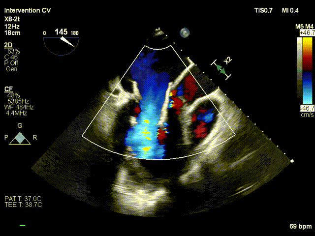
Neo-LVOT评估


05.jpg
06.jpg

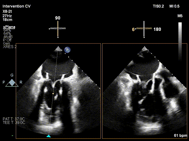
二尖瓣环平面与LVOT角度


手术过程


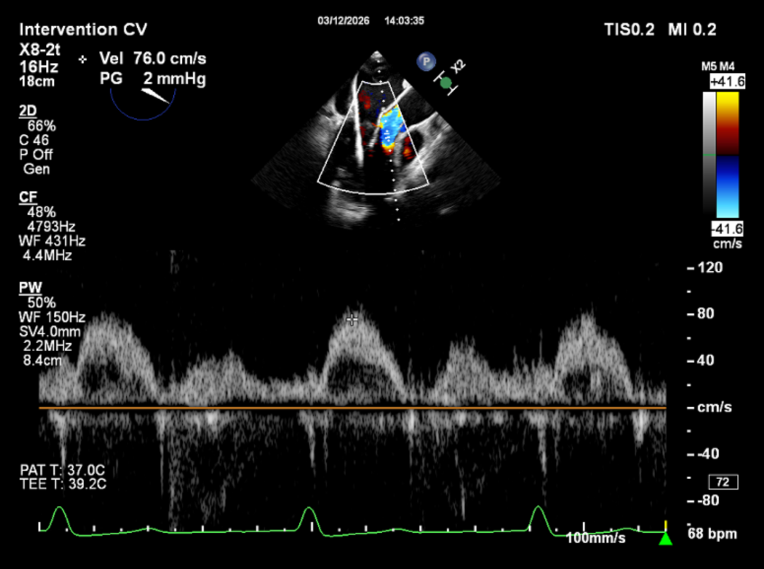
手术采用左侧第五肋间微创切口入路,超声引导下经心尖将导丝置入左房,送入瓣膜输送系统,经过一系列超声定位后逐渐释放瓣膜。确认瓣膜位置满意后撤出输送系统,瓣架恢复膨胀完全、锚定良好,人工二尖瓣瓣叶形态完好,无反流及无瓣周漏,人工二尖瓣峰值流速1.10m/s、平均压差2mmHg,峰值压差5mmHg,由连续多普勒据PHT估测面积约3.5cm²,左室流出道无梗阻,峰值流速0.76m/s。术中出血约100ml,无输血,术后患者安全返回监护室。


07.gif
08.gif

TMVR术前

TMVR术中


09.gif
10.gif

TMVR术后


11.jpg
12.jpg

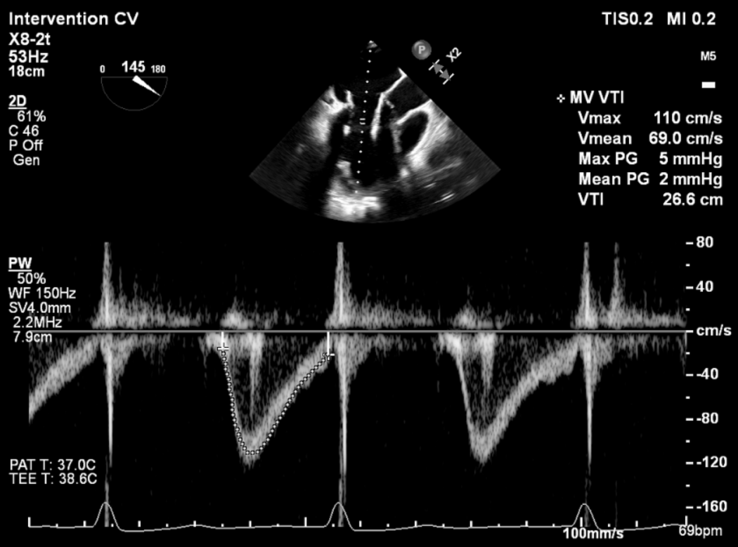
血流动力学


13.jpg


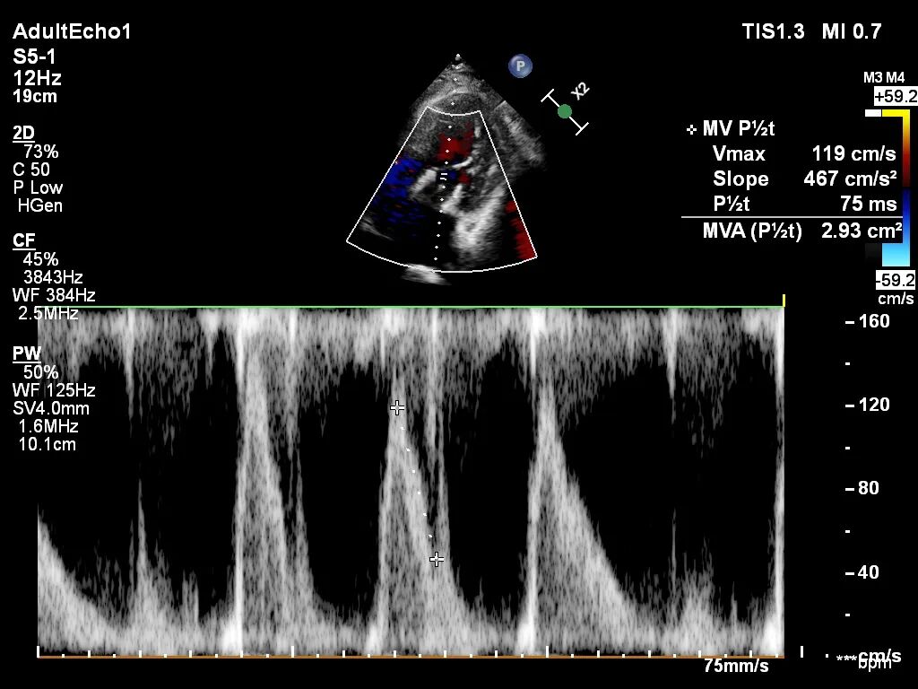
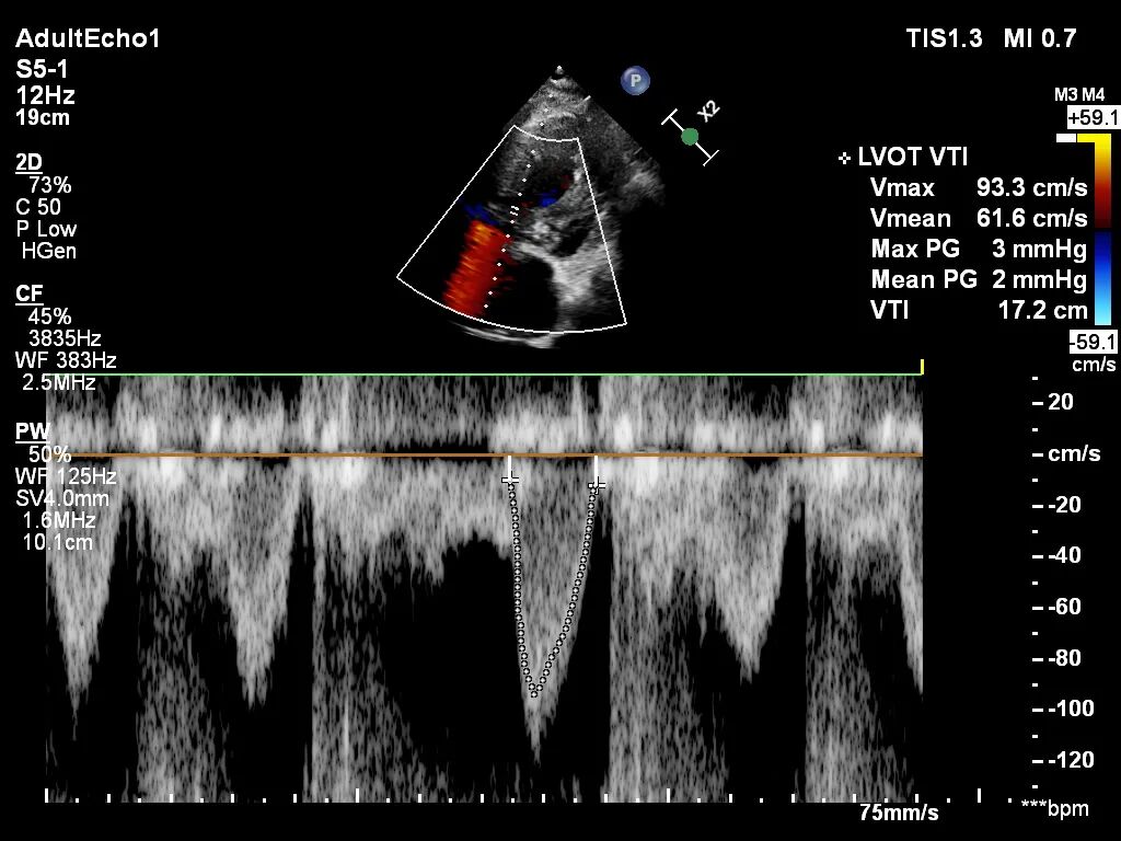
术后出院前检查结果


术后第2天患者出监护室,术后第4天拔管,术后第5天顺利出院。出院前心超显示:经导管二尖瓣人工瓣膜植入术后,人工瓣膜支架固定,形态未见异常,瓣叶开放不受限,瓣口由多普勒估测其开放峰值流速为1.15m/s,峰值压差5mmHg,平均跨瓣压差为2mmHg,由连续多普勒据PHT估测面积约2.93cm²,瓣叶关闭形态未见异常,彩色多普勒未测及二尖瓣反流及瓣周漏;左心室流出道通畅,流出道峰值流速0.93m/s。


14.jpg
15.jpg

出院时人工瓣膜开口面积


出院时人工瓣膜跨瓣压差


16.jpg

出院时Neo-LVOT


手术及器械评价


魏来教授介绍:金仕生物与复旦大学附属中山医院心外科合作多年共同研发的经导管二尖瓣置换系统,历经数次迭代,最终采用偏心式瓣架设计,大幅度改善了现有 TMVR技术中可能存在的左室流出道阻挡现象。同时运用多项超声显影增强技术,增加了手术安全性,降低了手术复杂程度,有效解决了临床痛点。前期已从数十头动物实验和FIM阶段10例人体植入手术结果中获得验证。


复旦大学附属中山医院心外科是国内经导管二尖瓣手术经验最丰富的中心之一,牵头多项相关临床研究。该首例手术操作安全流畅,手术即刻效果及术后结果均非常理想。中山医院心外科创新开展的纯超声引导下经导管二尖瓣手术和主动脉瓣手术完全脱离了对X射线和造影剂的依赖,避免了造影剂肾脏损伤以及长时间手术引起的医患双方辐射损伤。同时,该技术摆脱了对大型放射设备的依赖,有潜力降低医疗成本,提升优质医疗资源的可及性。


二尖瓣反流(MR)是我国最常见的心脏瓣膜疾病,经导管二尖瓣置换是近年来结构性心脏病介入治疗领域的热点,但也面临着诸多技术难题如二尖瓣解剖结构复杂、入路挑战、手术流程复杂、左室流出道梗阻风险、人工瓣膜锚固和密封困境及血流动力学表现等。金仕生物潜心多年自主研发的ProStyle M®经导管二尖瓣瓣膜系统,其偏心式设计理念及其简洁的人工瓣膜设计大大降低了该系统手术操作难度及左室流出道梗阻风险,同时其优异的血流动力学表现、出众的锚固性能及金仕生物自研的抗钙化干瓣处理工艺进一步提高了瓣膜耐久性,为患者的长期预后提供了保障。


金仕生物始终致力于结构性心脏病产品的生产和研发,以创新为驱动,深耕瓣膜领域,自主化的生物材料处理技术和国际领先的干瓣处理技术已获得海内外多项专利,并实现人工生物心脏瓣膜、瓣膜成形环、心脏外科生物补片和预装干式经导管主动脉瓣膜的国产商业化,填补了国内瓣膜类高端产品的空白,为中国心脏医生提供品质优异的产品,惠及中国患者,从心开始,关爱健康。


专家简介

17.jpg


王春生

复旦大学附属中山医院(点击查看专家详细简历)


18.jpg


魏来

复旦大学附属中山医院(点击查看专家详细简历)


19.jpg


董丽莉

复旦大学附属中山医院(点击查看专家详细简历)



· END ·